Featured image of post Imagens De Dente Estragado / Dente é uma estrutura localizada na boca que é dura, saliente e esbranquiçada composta por polpa, dentina e esmalte que é originada no maxilar e na mandíbula (ou arcada dentária no ser humano) de muitos vertebrados.

Imagens De Dente Estragado / Dente é uma estrutura localizada na boca que é dura, saliente e esbranquiçada composta por polpa, dentina e esmalte que é originada no maxilar e na mandíbula (ou arcada dentária no ser humano) de muitos vertebrados.

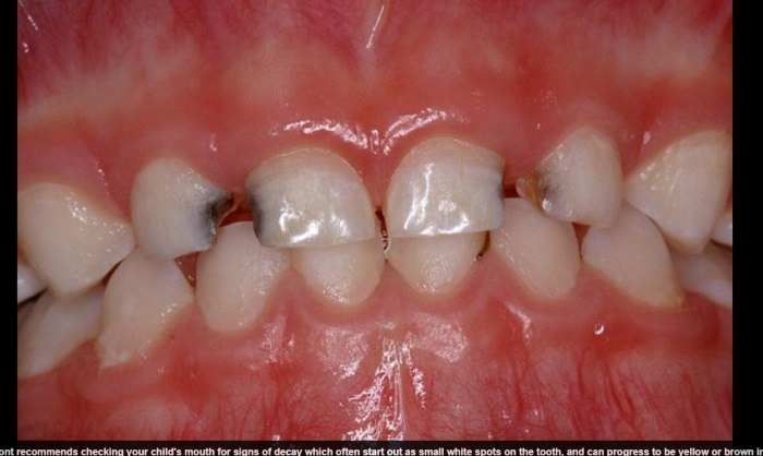
Quando o dente estragado tem indicação de extração por parte do dentista o procedimento ocorre da seguinte forma.

Built with Hugo Cuy
Theme Reang Cuy v.%!(EXTRA string=2.0.1) designed by Ngopi24Jam.cuy